Traitement endodontique à La Défense au cabinet du Dr Alix Sauvagnac
Vous ressentez une douleur persistante ou une gêne à la mastication ? Vous souffrez d’une sensibilité au chaud et au froid ? Ces symptômes sont souvent des signaux d’alerte, à ne pas prendre à la légère. Ils peuvent révéler une inflammation ou une infection de la pulpe dentaire et du nerf. Pour éviter toute complication, une consultation rapide s’impose dans votre cabinet dentaire.
Le Dr Alix Sauvagnac, chirurgienne-dentiste à La Défense, vous reçoit pour établir un diagnostic précis et, si nécessaire, un traitement endodontique pour dévitaliser la dent douloureuse nécrosée.

L’endodontie pour traiter les infections de la pulpe dentaire et des racines
L’endodontie traite les infections situées au cœur de la dent et de ses racines. Le recours à un traitement est indiqué dans les cas suivants :
- caries profondes ayant atteint la pulpe dentaire ;
- inflammation irréversible de la pulpe (pulpite) ;
- inflammation irradiante (rage de dents), chronique ou abcès ;
- fracture, fêlure ou traumatisme sévère ;
- nécrose d’une dent ;
- reprise d’un traitement ancien qui présente des complications
Une intervention rapide limite la propagation de l’infection et préserve la bonne santé de votre bouche, ainsi que de votre bien-être général.
Le traitement endodontique vise à retirer la pulpe infectée, à nettoyer et désinfecter en profondeur les canaux radiculaires, puis à les obturer hermétiquement. Ce protocole minutieux, réalisé sous anesthésie locale, permet dans la majorité des cas d’éviter l’extraction, de soulager la douleur et de restaurer la dent sur une base saine.
En conservant la dent naturelle, la fonction masticatoire et l’esthétique du sourire sont préservées.
Le déroulement d’un soin endodontique ou dévitalisation
Pour un confort optimal, le traitement endodontique, ou dévitalisation, se déroule sous anesthésie locale. L’intervention est donc totalement indolore.
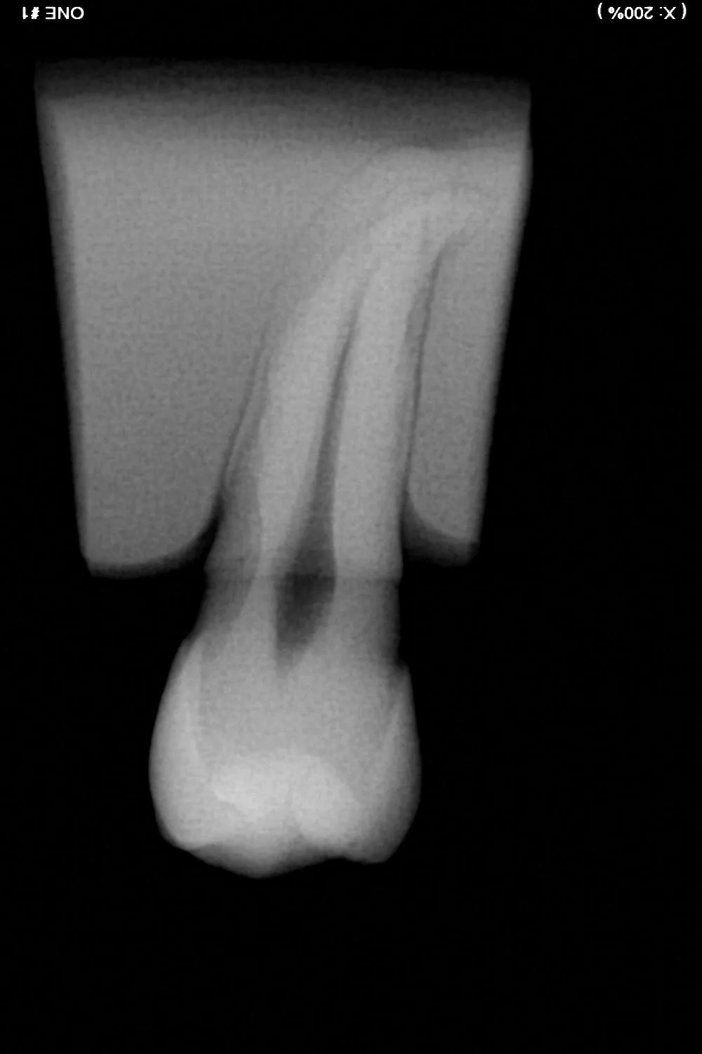
Pour traiter l’infection, l’endodontiste doit accéder à la pulpe. Pour ce faire, il placera une digue autour de la dent, c’est un champ qui protège le site en cours de traitement, de la salive et de la langue, pour permettre une désinfection optimale de votre dent. Une ouverture est pratiquée sur la dent afin d’atteindre les canaux. Les tissus infectés sont alors retirés, puis les canaux sont soigneusement nettoyés à l’aide de limes K manuelles et de limes mécaniques type Protaper Gold et Reciproc, ainsi que d’une bonne irrigation des canaux à l’aide de plusieurs solutions désinfectantes (NaClo, EDTA, Chlorhexidine, sérum physiologique). Après séchage, les canaux sont obturés de manière étanche pour prévenir tout risque de recontamination par des bactéries. En fonction de l’état de la dent, une restauration adaptée est ensuite réalisée : soit une obturation classique, soit une couronne si la structure est fragilisée.
Après le soin, il est possible de ressentir une légère sensibilité à la mastication dans les jours qui suivent, souvent liée à l’inflammation des tissus. Cette gêne est passagère et disparaît rapidement. Des antalgiques peuvent être prescrits si besoin, et un brossage doux autour de la zone est recommandé.
Parfois, une dent déjà traitée peut présenter une nouvelle infection. Un retraitement endodontique permet alors de réintervenir sur les canaux pour les assainir et restaurer durablement la dent.


Les soins du cabinet du Dr Alix Sauvagnac, endodontiste à La Défense
Le Dr Alix Sauvagnac intervient pour :
- les traitements endodontiques initiaux ;
- les retraitements de racines déjà soignées, mais infectées de nouveau.
Le cabinet utilise un équipement de haute précision pour un traitement minutieux et précis.
Nos praticiens qualifiés veillent à assurer des soins sans douleur, durables et réalisés dans un cadre apaisant.
Prendre rendez-vous pour un traitement en endodontie à Paris
Toute l’équipe du cabinet du Dr Alix Sauvagnac est à votre écoute. Pour toute question ou pour planifier un traitement en endodontie à Paris La Défense, n’hésitez pas à nous contacter ou à vous rendre sur Doctolib